CONOCE MÁS SOBRE
NUESTRO TRABAJO
CASOS DE ODONTOLOGÍA GENERAL
Paciente femenino, “29” años
Tratamiento: Carillas dentales
El paciente acudió a la clínica dental por inconformidad con la forma y posición de sus dientes. Tras una evaluación personalizada, se realizó un diseño de sonrisa con carillas dentales para mejorar su estética dental, logrando resultados naturales y satisfactorios.
Paciente masculino, “33” años
Tratamiento: Diseño de sonrisa
El paciente presentó inconformidad con la estética de sus dientes anteriores. Tras un diagnóstico clínico y análisis digital, se realizó diseño de sonrisa con carillas de porcelana para corregir forma, posición y tamaño dental, logrando una apariencia armónica y natural que cumplió con sus expectativas estéticas.
CASOS DE ENDODONCIA
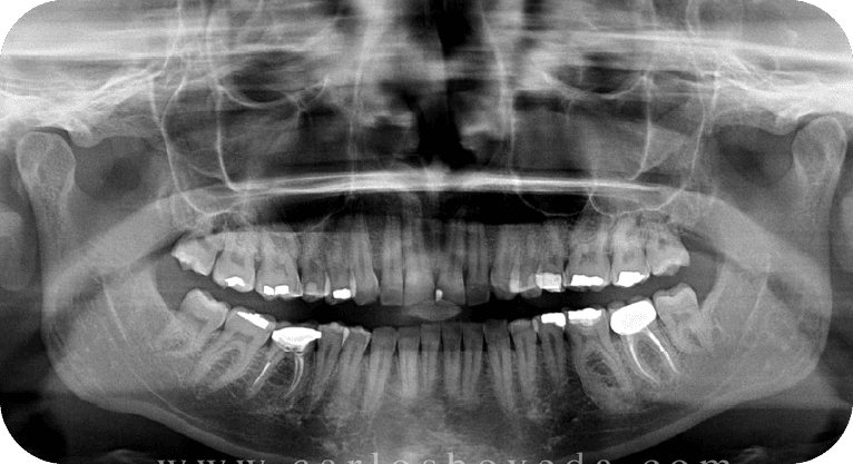
Paciente masculino, “32” años
Tratamiento: Tratamiento de conducto
El paciente requería tratamiento en dos dientes con pulpitis irreversible. Se realizaron endodoncias con microscopio y se restauraron las piezas según su daño, eliminando el dolor y evitando extracciones.
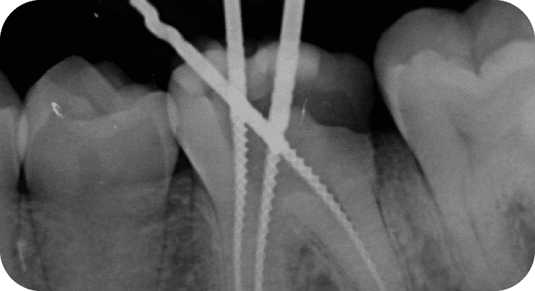
Paciente masculino, “25” años
Tratamiento: Tratamiento de conducto
El paciente presentaba dolor en dos molares por caries profundas. Se realizó endodoncia en ambas piezas, desinfectando y sellando los conductos, seguido de coronas de zirconio para restaurar su función.
CASOS DE PERIODONCIA
Paciente masculino, “65” años
Tratamiento: Cirugía de encías
El paciente presentaba sensibilidad dental causada por la exposición de los cuellos dentales, por lo que se realizó una cirugía de recubrimiento radicular con injerto gingival y reposicionamiento de encía, logrando
proteger las raíces expuestas, reducir la hipersensibilidad y mejorar tanto la función como la estética periodontal, con resultados satisfactorios para el paciente.
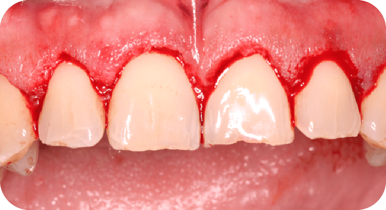
Paciente masculino, “45” años
Tratamiento: Cirugía de encías
El paciente manifestó inconformidad con el aspecto corto de sus dientes, por lo que se realizó una cirugía periodontal de remodelación gingival para recontornear el tejido gingival y exponer mayor superficie dental, logrando así una proporción dentogingival más armónica y mejorando significativamente la estética de su sonrisa.
CASOS DE IMPLANTOLOGÍA
Paciente femenino, “52” años
Tratamiento: All of 4
La paciente acudió a la clínica tras perder varios dientes superiores por caries, utilizando una prótesis removible que le resultaba incómoda; deseaba una solución fija, por lo que se le realizó una rehabilitación completa con técnica All-on-4, colocando 4 implantes dentales que soportan una prótesis fija, devolviéndole la funcionalidad, seguridad y una sonrisa natural de forma permanente.
Paciente femenino, “42” años
Tratamiento: Implante dental
El paciente acudió a la clínica tras haber perdido dos molares por caries avanzada, lo que afectaba su función masticatoria. Para restaurar la zona edéntula, se realizó la colocación de implantes dentales en los espacios correspondientes, devolviendo así la capacidad de masticación, previniendo la pérdida ósea y manteniendo la alineación de las piezas adyacentes, con resultados funcionales y estéticos satisfactorios.
Formulario
¡Consulta con nosotros ahora!
Realiza tus pagos
















